Zum Inhalt springen

Modelle

Medizinische Modelle von Mensch und Tier

Medizinische Modelle können dabei helfen, die Anatomie des menschlichen Körpers besser zu verstehen und Einblicke in Bereiche zu gewähren, die ansonsten für das menschliche Auge unsichtbar sind. Insbesondere im Praxisalltag kann das Modell des menschlichen Körpers durch seine dreidimensionale Veranschaulichung einzelner Strukturen dabei helfen, Patienten bestimmte Strukturen, Verletzungen und Krankheiten zu erklären. Auch im Medizinstudium oder medizinischen Ausbildungen ist das Körpermodell sehr beliebt, um Lehrinhalte leichter zu vermitteln. Entdecken Sie die unterschiedlichen medizinischen Modelle und Lehrtafeln von Mensch und Tier bei Meddax24. Bestellen Sie alles bequem in Ihre Praxis mit nur einem Klick.
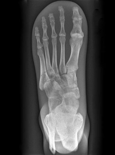
ERLERZIMMER Fußphantom für CT, Röntgen und Strahlentherapie
Fußphantom für CT, Röntgen und Strahlentherapie
Dieses Phantom ist aus echten Patientendaten erstellt und wird mit neuester Technologie hergestellt. Knochen, Gefäße und Weichteilgewebe werden authentisch dargestellt mit realistischen CT-Werten für alle Gewebe bei 120 kVp Röhrenspannung in der CT. Wenn das Phantom vorwiegend bei anderen Röhrenspannungen (z. B. 100 kVp) eingesetzt werden soll, kann die Kalibrierung der CTWerte auf Wunsch entsprechend angepasst werden. Das Phantom liefert realistische Gewebekontraste in der Röntgen-Bildgebung. Lufträume sind durch ein Material mit etwa -80 Hounsfieldeinheiten aufgefüllt.
Das Fuß - Phantom liefert eine äußerst realistische Simulation eines Fußes. Pathologien (z.B. Frakturen, Verkalkungen, Knochen und Weichteiltumoren) können auf Wunsch integriert werden.

Produktdetails:

Größe: 10x12x25cm
()
3.936,28 € 3936.28 EUR
ERLERZIMMER Kopf & Hals CT,Röntgen & Strahlentherapie
Kopf und Hals Phantom für CT, Röntgen und Strahlentherapie"
Dieses Phantom ist aus echten Patientendaten erstellt und wird mit neuester Technologie hergestellt. Knochen, Gefäße und Weichteilgewebe werden authentisch dargestellt mit realistischen CT-Werten für alle Gewebe bei 120 kVp Röhrenspannung in der CT. Wenn das Phantom vorwiegend bei anderen Röhrenspannungen (z. B. 100 kVp) eingesetzt werden soll, kann die Kalibrierung der CTWerte auf Wunsch entsprechend angepasst werden. Das Phantom liefert realistische Gewebekontraste in der Röntgen-Bildgebung. Lufträume sind durch ein Material mit etwa -80 Hounsfieldeinheiten aufgefüllt.
Das Kopf - Phantom liefert eine äußerst realistische Simulation einer Kopf- und Hals-CT-Angiographie (mit arterieller Kontrastierung) eines Patienten mit einer arteriovenösen Malformation auf der rechten Seite. Das Phantom wird in originalgetreuem Maßstab geliefert und beinhaltet die Halswirbelsäule bis zur Grundplatte des fünften Halswirbels.

Produktdetails:

Größe: 19x23x27cm
()
17.379,39 € 17379.39 EUR
ERLERZIMMER Angiographie Kopfmodell
Angiographie Kopfmodell
- Dieses Modell besteht aus einem synthetischen Schädel, welcher in einen Kunststoffkopf eingegossen ist.
- In der linken Schädelhälfte sind die vordere und mittlere Hirnarterie nachgebildet und mit Kontrastmittel gefüllt.
- Der Durchmesser der simulierten Arterien reicht von 0,5 mm bis 4 mm.
()
9.087,77 € 9087.77 EUR
ERLERZIMMER Oberkörperphantom für Röntgen und CT
Oberkörperphantom für Röntgen und CT
Dieses Vielzweck-Übungsmodell eignet sich für Aufnahmen mit Röntgengeräten und mit Computertomographen. Es eignet sich sowohl zum Erlernen der Aufnahmetechnik als auch für die Ausbildung der Bildinterpretation. Auch für die Gerätewartung und –einstellung eignet sich dieses Modell hervorragend. Die Strukturen des Modells sind aus Materialien mit annähernd natürlichen Röntgenabsorptionswerten gefertigt. Das Model kann geöffnet werden und künstliche Tumore können in die Lunge eingebracht werden. 15 unterschiedliche Tumore werden mitgeliefert.

Produktdetails:

Dieses Phantom stellt einen männlichen Erwachsenen, 56 Jahre alt, Körpergröße 170 cm, Körpergewicht 56 kg, mit einem BMI von 23 dar.
()
23.283,58 € 23283.58 EUR
ERLERZIMMER Ganzkörper CT Phantom
Ganzkörper CT Phantom
Ein einzigartiges Ganzkörperphantom für CT bietet eine Vielzahl von Ausbildungs- und Forschungsmöglichkeiten. Das Phantom kann auch für normales Röntgen benutzt werden und gibt lebensnahe Bilder. Es benden sich keine Metallteile oder Flüssigkeiten im Phantom. Die wichtigen Gelenke haben eine menschenähnliche Beweglichkeit und erlauben vielfältige Positionen für die Übung. Das Phantom kann in 10 Teile zerlegt werden. Die verbesserten Schultergelenke erlauben es, die Arme nach oben zu bewegen. Die künstlichen Organe sind anatomisch korrekt und haben entsprechende HU-Zahlen.

Patientenpositionierung:
- Schultern rotieren volle 360° in der Sagittalebene, etwa 180° seitwärts.
- Hüftgelenke rotieren vorwärts bis etwa 90°, dann jeweils bis zu 45° auswärts.
- Knie können bis etwa 90° gebeugt werden.
- Ellenbogen beugen sich bis etwa 90°.
- Das Phantom kann auf dem Rücken liegend die Froschbein-Position einnehmen.
- Die Extremitäten und der Kopf können abgenommen werden.
- Die Kopfstütze erlaubt vielfältige Kopfpositionen.

Innere Organe und Strukturen:
- Kopf und Rumpf
- Synthetischer Schädel
- Halswirbel
- Gehirn
- Wirbel
- Schlüsselbeine
- Rippe
- Brustbein
- Schulterblätter
- Beckenknochen
- Oberschenkel
- Lungen mit Pulmonalgefäßen
- Luftröhre
- Leber mit Pfortader und Lebervene
- Bauchspeicheldrüse
- Nieren
- Gallenblase
- Milz
- Aorta
- Vena Cava
- Harnleiter
- Harnblase
- Prostata
- Rektum
- Colon sigmoideum
- Harnleiter
- Harnblase
- Prostata
- Rektum
- Colon sigmoideum
Phantom-Materialien:
Radiologische Absorption und Hounsfield-Nummer ähnlich dem menschlichen Körper.
()
54.426,17 € 54426.17 EUR
ERLERZIMMER Röntgenphantom Unterarm, opak
Röntgenphantom Unterarm, opak
Dieses Röntgen-Teilphantom bietet Ihnen die einmalige Möglichkeit, reale Röntgenaufnahmen so oft Sie wollen zu wiederholen. Das Modell enthält echte menschliche Knochen und erlaubt so, echte Aufnahmen zu machen. Das Modell eignet sich perfekt für Schulen und Ausbildungsstätten, aber natürlich auch für die Medizintechnik, da verschiedene Einstellungen mit dem gleichen Körperteil wieder und wieder ausprobiert werden kann, ohne dass eine Gefährdung des Patienten in Kauf genommen werden muss. Das Modell ist in transparentem Kunststoff fest eingebettet. Diese Ausführung ist mit einem undurchsichtigen Lack versehen, so dass die inneren Strukturen nicht zu erkennen sind. Bei diesem Modell handelt es sich um ein handgefertigtes Einzelstück, das in seiner Größe und Ausführung abweichen kann. Bedingt durch das Fertigungsverfahren können im Innern des Phantoms Verfärbungen oder Risse vorhanden sein, dies ist produktionsbedingt und stellt keinen Defekt dar. Der Verkauf dieses Modells erfolgt nur gegen Nachweis der medizinischen Verwendung.
Hand mit Unterarm und Ellenbogen. Inklusive Transportkoffer
()
7.516,52 € 7516.52 EUR
ERLERZIMMER Röntgenphantom Unterarm, transparent
Röntgenphantom Unterarm, transparent
Dieses Röntgen-Teilphantom bietet Ihnen die einmalige Möglichkeit, reale Röntgenaufnahmen so oft Sie wollen zu wiederholen. Das Modell enthält echte menschliche Knochen und erlaubt so, echte Aufnahmen zu machen. Das Modell eignet sich perfekt für Schulen und Ausbildungsstätten, aber natürlich auch für die Medizintechnik, da verschiedene Einstellungen mit dem gleichen Körperteil wieder und wieder ausprobiert werden kann, ohne dass eine Gefährdung des Patienten in Kauf genommen werden muss. Das Modell ist in transparentem Kunststoff fest eingebettet. Bei diesem Modell handelt es sich um ein handgefertigtes Einzelstück, das in seiner Größe und Ausführung abweichen kann. Bedingt durch das Fertigungsverfahren können im Innern des Phantoms Verfärbungen oder Risse vorhanden sein, dies ist produktionsbedingt und stellt keinen Defekt dar. Der Verkauf dieses Modells erfolgt nur gegen Nachweis der medizinischen Verwendung.
Hand mit Unterarm und Ellenbogen.
Inklusive Transportkoffer
()
7.720,86 € 7720.86 EUR
ERLERZIMMER Röntgenphantom Fuß, opak
Röntgenphantom Fuß, opak
Dieses Röntgen-Teilphantom bietet Ihnen die einmalige Möglichkeit, reale Röntgenaufnahmen so oft Sie wollen zu wiederholen. Das Modell enthält echte menschliche Knochen und erlaubt so, echte Aufnahmen zu machen. Das Modell eignet sich perfekt für Schulen und Ausbildungsstätten, aber natürlich auch für die Medizintechnik, da verschiedene Einstellungen mit dem gleichen Körperteil wieder und wieder ausprobiert werden kann, ohne dass eine Gefährdung des Patienten in Kauf genommen werden muss. Das Modell ist in transparentem Kunststoff fest eingebettet. Diese Ausführung ist mit einem undurchsichtigen Lack versehen, so dass die inneren Strukturen nicht zu erkennen sind. Bei diesem Modell handelt es sich um ein handgefertigtes Einzelstück, das in seiner Größe und Ausführung abweichen kann. Bedingt durch das Fertigungsverfahren können im Innern des Phantoms Verfärbungen oder Risse vorhanden sein, dies ist produktionsbedingt und stellt keinen Defekt dar. Der Verkauf dieses Modells erfolgt nur gegen Nachweis der medizinischen Verwendung.
Fußskelett mit Unterschenkelansatz.
Inklusive Transportkoffer
()
5.384,71 € 5384.71 EUR
ERLERZIMMER Röntgenphantom Fuß, transparent
Röntgenphantom Fuß, transparent
Dieses Röntgen-Teilphantom bietet Ihnen die einmalige Möglichkeit, reale Röntgenaufnahmen so oft Sie wollen zu wiederholen. Das Modell enthält echte menschliche Knochen und erlaubt so, echte Aufnahmen zu machen. Das Modell eignet sich perfekt für Schulen und Ausbildungsstätten, aber natürlich auch für die Medizintechnik, da verschiedene Einstellungen mit dem gleichen Körperteil wieder und wieder ausprobiert werden kann, ohne dass eine Gefährdung des Patienten in Kauf genommen werden muss. Das Modell ist in transparentem Kunststoff fest eingebettet. Bei diesem Modell handelt es sich um ein handgefertigtes Einzelstück, das in seiner Größe und Ausführung abweichen kann. Bedingt durch das Fertigungsverfahren können im Innern des Phantoms Verfärbungen oder Risse vorhanden sein, dies ist produktionsbedingt und stellt keinen Defekt dar. Der Verkauf dieses Modells erfolgt nur gegen Nachweis der medizinischen Verwendung.
Fußskelett mit Unterschenkelansatz.
Inklusive Transportkoffer
()
5.480,31 € 5480.31 EUR
ERLERZIMMER Röntgenphantom Kopf mit Halswirbeln, transparent
Röntgenphantom Kopf mit Halswirbeln, transparent
Menschlicher Schädel, sicher eingebettet in Kunststoff für einfache Handhabung. Der Kiefer ist leicht geöffnet, so dass die Zähne gut für Panoramaaufnahmen im Dentalbereich geeignet sind. Der Hals verfügt über Halswirbel. Ein eingebettetes Gewinde ermöglicht die Befestigung eines Stativs.
Inklusive Transportkoffer
()
16.660,00 € 16660.0 EUR
ERLERZIMMER Ganzkörper Röntgenphantom
Ganzkörper Röntgenphantom
Dieses weltweit einmalige Phantom bietet erstklassige Übungsmöglichkeiten für die Lagerungs- und Einstelltechnik in der Projektions-Radiographie und gehört eigentlich zur Grundausstattung jeder Röntgen-Ausbildungsstätte. Das Phantom enthält ein natürliches menschliches Skelett sowie die Umrisse von Kehlkopf, Lunge, Herz und Nieren (Organe erscheinen als Schatten auf den Röntgenbildern), dadurch können mit dem Phantom echte Röntgenaufnahmen wie beim Patienten gemacht werden. Durch die Verwendung des echten Skeletts können Leitstrukturen im Knochen erkannt werden, was bei Kunststoffskeletten nicht möglich ist. Bei der Montage des Phantoms wird besonderer Wert auf die Darstellung der Gelenkspalte gelegt. Die Gelenke sind voll beweglich montiert, und ermöglichen die Lagerung in den normalen Röntgenpositionen (z.B. Froschposition, Pro- und Supination des Unterarms). Die Arme können nach oben bewegt werden, so dass das Modell auch für alle knöchernen Untersuchungen im CT verwendet werden kann. Bei jedem Phantom handelt es sich um ein handgefertigtes Unikat, welches sich in Größe und Ausführung unterscheiden kann. Je nach Modell können pathologische Befunde vorhanden sein, die äußere Erscheinung kann sich je nach Größe des Modells unterscheiden. Die neue Ausführung dieses Modells wurde in Zusammenarbeit mit einer namhaften deutschen Schule für Med. Techn. Radiologieassistenten komplett überarbeitet und erfüllt alle Anforderungen für die Ausbildung. Der Verkauf dieses Phantoms erfolgt nur gegen Nachweis der medizinischen Verwendung. Natürliche Größe.
Inklusive Transportkoffer.
()
31.733,15 € 31733.15 EUR
ERLERZIMMER Tischklemme für die Dentalpuppe
Tischklemme für die Dentalpuppe
Diese Tischklemme hat ein leichtes, rundum bewegliches Kugelgelenk zur Simulation von Nackenbewegungen.

Produktdetails:

Gewicht: 1 kg
()
3.795,73 € 3795.73 EUR
ERLERZIMMER Dentalpuppe
Dentalpuppe
Eine einfache und preiswerte Stuhlpuppe zur Ausbildung für zahnmedizinischtechnische Assistenten und zahnmedizinische Prophylaxeassistenten in der Zahnarztpraxis. Die Einheit umfasst das DENTOFORM®-Modell zum Techniktraining, einen Aluminal-Schädel und einen weichen Plassein-Kopf. Durch das rundumbewegliche Kugelgelenk kann der Kopf in viele verschiedene Positionen gebracht werden. Mit Befestigung für den Stuhl.

Produktdetails:

Gewicht: 2,8 kg
()
4.430,54 € 4430.54 EUR
ERLERZIMMER Ultraschall-Bronchoskopie-Trainer
Ultraschall-Bronchoskopie-Trainer"
Dieses Modell dient nicht nur dem Training mit ultradünnen Bronchoskopen, sondern kann auch zur Übung der transbronchialen Nadelaspiration eingesetzt werden.

Eigenschaften:
- Die Visualisierung von Bronchoskopie-Ultraschallbildern der im Punktionsbereich eingebetteten Lymphknoten ermöglicht das Training der realistischen Diagnose von Metastasen in Hiluslymphknoten und mediastinalen Lymphknoten. Ebenfalls möglich ist die Punktion von Ziellymphknoten.
- Der Bronchialbaum wurde in einem speziellen Fertigungsverfahren hergestellt und ermöglicht die Bronchoskopie bis zur den Bronchiolen fünfter Ordnung.
- Das Kopfmodell ermöglicht die Übung des gesamten Procedere einschließlich der Lokalisation der Gabelung in Luft- und Speiseröhre.
- Der Bronchialbaum sowie die Halterung des Bronchialbaums können einfach aus dem Koffer entnommen werden.
- Der Bronchialbaum kann nach der Übung einfach mit Wasser durchgespült werden
- Der flexible Kunststoff hat eine ähnliche Flexibilität wie echtes Gewebe, so dass die Haptik beim Einführen des Bronchoskops sehr lebensecht ist. Das Innere des Bronchus ist realistisch eingefärbt und sieht wie echtes Gewebe aus.


Produktdetails:

Größe: 30 x 46 x 24 cm
Gewicht: 5 kg
()
4.766,99 € 4766.99 EUR
ERLERZIMMER Koloskopie-Simulator
Koloskopie-Simulator
Dieser Koloskopie – Simulator ist ein Übungsmodell um die Handhabung eines Koloskops zu erlernen und zu üben. Er ist aus Spezialsilikon gefertigt, welches sich im Untersuchungsbereich wie ein lebender Körper anfühlt. Auch die Farbgebung der inneren Strukturen entspricht annähernd dem Menschen.

Eigenschaften:
- Zum Zweck der Identifikation und des Auffindens kann ein künstlicher Polyp im aufsteigenden und absteigenden Kolon angebracht werden.
- Ein LST (laterally spreading tumor) ist im aufsteigenden Kolon dargestellt.

Durch optionale Ergänzungen können an diesem Simulator auch endoskopische Eingriffe geübt werden, wie zum Beispiel des Resektieren eines Polypen und das Stoppen der Blutung sowie das Einführen eines Ballon-Enteroskops in den Dünndarm.
()
2.492,38 € 2492.38 EUR
ERLERZIMMER Hautnaht Trainer
Hautnaht Trainer
Dieses Übungsmodell erlaubt es, chirurgische Nähte wieder und wieder zu üben. Das Stichverhalten der Kunsthaut ist dem realen Vorbild annähernd nachempfunden. Verschiedene Hautnahttechniken (Einzelknopfnaht, Rückstichnähte und Intrakutannähte) können an diesem Modell geübt werden. Das Material ist sehr strapazierfähig, selbst bei häufiger Nutzung bleiben die Wundränder der Kunsthaut weitgehend intakt. Somit ist eine lange Verwendung des Übungskissens gewährleistet und die Kosten pro Student bleiben bei höchstmöglicher Trainingsqualität niedrig. Inklusive Halterung mit Saugnäpfen. Entwickelt in Zusammenarbeit mit Frau PD Dr. med. Sarah König, Lernstudio der Chirurgie, Abteilung für Allgemein- und Viszeralchirurgie der Universitätsmedizin Göttingen.

Produktdetails:

Größe des Pads: 15 x 13 cm
()
100,03 € 100.03 EUR
ERLERZIMMER Pädiatrisches Kopf Hautnaht Set
Pädiatrisches Kopf Hautnaht Set
Wir freuen uns, die ultimative Lösung im Hautnahttraining vorzustellen. Dieser ansprechende Trainer formt die wichtigsten Techniken zur Versorgung fast aller Wunden im Gesicht und der Kopfhaut. Auch geeignet zur Übung des sterilen Abdeckens und sonstiger Versorgung. Die weiche, lebensechte Haut kann geschnitten und hunderte Male vernäht werden. Die Haut ist auswechselbar und wird einfach über den Sockel gezogen. Das Modell ist waschbar und aus unbedenklichen Materialien hergestellt. Lieferumfang: Übungsmodell, Skalpell, Pinzette, Nadelhalter und Schere in Tasche, Nahtmaterial, künstliches Blut und Babypuder.

Gewicht: 4,3 kg
()
863,46 € 863.46 EUR
ERLERZIMMER Modul-Set für den Wundverschluss im Gesicht
Modul-Set für den Wundverschluss im Gesicht
Ihre Studenten haben sich nun die grundlegenden Fertigkeiten für den Wundverschluss auf einem ebenen Pad angeeignet. Mit dem Modul-Set für den Wundverschluss im Gesicht können Sie ihnen nun anspruchsvollere, lebensechte Szenarien bieten. Benutzen Sie diese handlichen, tragbaren Übungsgeräte, um das Selbstvertrauen und die Entwicklung von Techniken bei der Reparatur von komplexen Schnitt- oder Fleischwunden an Mund, Nase, Ohr und Auge zu fördern. Die weiche, lebensechte Haut kann viele Male eingeschnitten und genäht und anschließend über dem permanenten Kern und dem permanenten Sockel mühelos ersetzt werden. Voll waschbar und nicht toxisch. Zum Set gehören ein Skalpell, Pinzetten, Nadelhalter und Scheren in einem weichen Etui, Babypuder und eine Nylonnaht.
()
739,34 € 739.34 EUR
ERLERZIMMER Kunstglas zur Splittersimulation
Kunstglas zur Splittersimulation
Dieses gummiartige Material bricht wie Glas und bildet realistisch aussehende Glassplitter ohne die Gefahr, sich daran zu verletzen. Das Material kann je nach Bedarf in unterschiedliche Splittergrössen gebrochen werden. Verwenden Sie das Kunstglas am simulierten Unfallort oder in einer künstlichen bzw. geschminkten Wunde.

Produktdetails:

Größe: 10 x 3,5 x 1,5 cm
()
36,81 € 36.81 EUR
ERLERZIMMER Blutfarbene Flüssigkeit
Blutfarbene Flüssigkeit, 250 ml
Blutfarbene Flüssigkeit, 250 ml zur Verwendung in Injektions-Übungsarmen oder zur Wundsimulation.
()
29,70 € 29.7 EUR